Pre and Post Tongue Tie Release Therapy
Our therapy focuses on strengthening the tongue before the release procedure and ensuring proper healing and mobility after the release. This helps optimize oral function and overall well-being.
Pre-Release Therapy
Before the tongue tie release (frenotomy/frenectomy), we work on strengthening the tongue and surrounding muscles to prepare for the procedure. This ensures the best possible outcome and reduces potential complications.
Benefits of Pre-Release Therapy:
- Enhances tongue strength and mobility
- Prepares muscles for optimal function post-release
- Reduces the risk of complications during the procedure
Post-Release Therapy
After the tongue tie release, we provide specialized therapy to ensure proper healing and improve tongue mobility. This therapy includes exercises to re-pattern and re-educate the muscles for effective feeding, speech, and overall oral function.
Benefits of Post-Release Therapy:
- Promotes proper healing and tissue flexibility
- Improves tongue mobility and function
- Supports effective feeding, speech, and oral development

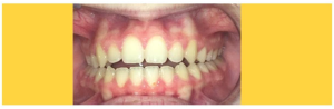
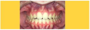
September

October

January
Positive Impact
Myofunctional therapy offers a powerful, non-invasive approach to improving overall health by addressing the root causes of oral and facial muscle dysfunction. By retraining the muscles of the tongue, lips, and face, this therapy supports proper breathing, swallowing, posture, and sleep. Clients often experience relief from issues such as mouth breathing, snoring, TMJ discomfort, and orthodontic relapse. Beyond these physical benefits, myofunctional therapy can also enhance focus, energy levels, and quality of life-making it a transformative component of whole-body wellness.
